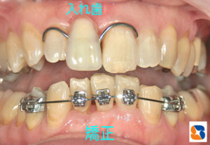
入れ歯と矯正

入れ歯と矯正

入れ歯と矯正
コラム「入れ歯と矯正」の画像
投稿日:2011年8月31日 水曜
記事一覧:Dr.鈴木日記 » このコラムのトップへ