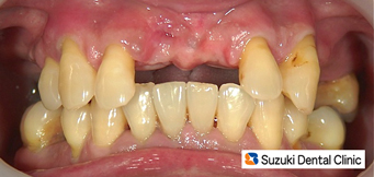
失った前歯を入れ歯でカバー

失った前歯を入れ歯でカバー

失った前歯を入れ歯でカバー
コラム「失った前歯を入れ歯でカバー」の画像
投稿日:2012年5月24日 木曜
記事一覧:Dr.鈴木日記 » このコラムのトップへ