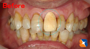
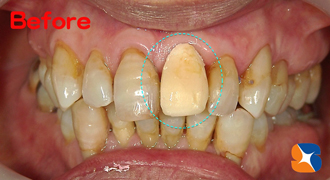
前歯の変色

前歯の変色

前歯の変色
コラム「前歯の変色」の画像
投稿日:2013年2月10日 日曜
記事一覧:Dr.鈴木日記 » このコラムのトップへ