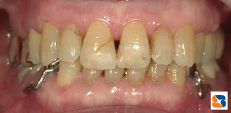
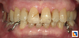
ホワイトニング前

ホワイトニング前

ホワイトニング前
コラム「ホワイトニング前」の画像
投稿日:2012年11月24日 土曜
記事一覧:Dr.鈴木日記 » このコラムのトップへ